آیا میتوان بلیچینگ روی ایمپلنت و لمینت انجام داد؟
شاید ایمپلنت یا لمینت دارید و دوست داشته باشید که دندان هایی سفید تر و جذاب تر داشته باشید، بلیچنگ یک راه حل ساده برای اینکار است، اما آیا انجام بلیچینگ روی ایمپلنت و لمینت امکان پذیر است؟
در ادامه با ما همراه باشید تا به بررسی بلیچینگ و تاثیرات آن روی ایمپلنت و لمینت بپردازیم:
تاثیر بلیچینگ روی ایمپلنت و لمینت

برای بررسی تایر بلچینگ روی ایمپلنت و لمینت در ابتدا باید تعریف دقیقی از بلچینگ داشته باشیم.
بلیچینگ چیست و چگونه باعث سفید شدن دندان ها میشود؟
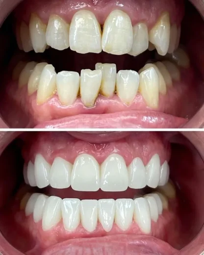
بلیچینگ یا Teeth Whitening یکی از محبوب ترین روش های سفید کردن دندانهاست که با استفاده از مواد حاوی پراکسید هیدروژن یا کاربامید پراکسید سطح خارجی دندانها را سفیدتر میکند.
این مواد به داخل مینا نفوذ میکنند و رنگ دانه هایی را که در اثر مصرف چای، قهوه، سیگار و مواد غذایی ایجاد شده اند، تجزیه میکنند و دندان ها را چند درجه سفیدتر نشان میدهند.
نکته مهم این است که تأثیر بلیچینگ تنها روی مینای دندان طبیعی اتفاق میافتد، نه روی روکش ها، لمینت ها یا ایمپلنت ها.
آیا بلیچینگ روی دندان دارای ایمپلنت اثر دارد؟
پاسخ کوتاه: خیر.
بلیچینگ هیچ تأثیری روی روکش ایمپلنت، پایهی تیتانیومی، و هر بخش مصنوعی ندارد. اما میتوان دندان های طبیعی اطراف را سفید کرد.
روکشهای ایمپلنت از سرامیک، زیرکونیا یا پرسلن ساخته میشوند و این مواد نه رنگ می گیرند و نه با مواد سفیدکننده تغییر رنگ می دهند.
۱. چرا مواد بلیچینگ روی روکش ایمپلنت تأثیر ندارند؟
چون ساختار ایمپلنت کاملاً غیرمتخلخل و غیرآلی است.
مواد سفیدکننده فقط روی ساختار معدنی مینا اثر می گذارند ولی روکش ایمپلنت ساختار طبیعی دندان را ندارد.
۲. اگر دندان های طبیعی سفید شوند ولی روکش ایمپلنت ثابت بماند چه میشود؟
این حالت ممکن است باعث ناهماهنگی رنگ دندانها شود.
مثلاً اگر قبل از سفید کردن، روکش ایمپلنت با رنگ دندان های طبیعی ست شده باشد، بعد از بلیچینگ دندان های طبیعی روشن تر میشوند اما روکش همان رنگ قبلی میماند.
در چنین شرایطی دندانپزشک معمولاً یکی از راهکارهای زیر را پیشنهاد میدهد:
تنظیم رنگ دندان ها قبل از ساخت روکش
یا تعویض روکش ایمپلنت بعد از بلیچینگ برای هماهنگی بیشتر
۳. بلیچینگ برای افرادی که لمینت دارند؛ آیا امکان پذیر است؟
بلیچینگ روی لمینت ها (ونیرهای سرامیکی یا کامپوزیتی) تأثیر مستقیم ندارد.
اما انجام بلیچینگ برای دندان های طبیعی کنار لمینت ها امکان پذیر است.
۳-۱. آیا مواد بلیچینگ روی لمینت اثر میگذارند؟
خیر، لمینت ها سفیدتر نمیشوند.
چون ونیرها از مواد سرامیکی یا کامپوزیتی ساخته شده اند که در برابر مواد سفیدکننده مقاوم اند.
۳-۲. تفاوت بلیچینگ برای ونیرهای سرامیکی و کامپوزیتی
سرامیکی: کاملاً نسبت به بلیچینگ مقاوم است و رنگش ثابت میماند.
کامپوزیتی: کمی متفاوت است؛ ممکن است به مرور زمان رنگ بگیرد، اما با بلیچینگ سفید نمیشود. تنها راه روشن تر شدن:
پولیش حرفه ای
یا تعویض ونیر کامپوزیت
بهترین زمان بلیچینگ قبل یا بعد از ایمپلنت و لمینت؟

بهترین زمان سفید کردن دندان ها قبل از ایمپلنت و لمینت است.
چون دندانپزشک میتواند روکش ایمپلنت یا لمینت را دقیقاً با رنگ جدید دندان های سفید شده هماهنگ کند.
اگر بلیچینگ را بعد از ایمپلنت یا لمینت انجام دهید، احتمال ناهماهنگی رنگ وجود دارد و ممکن است نیاز به تعویض روکش یا لمینت باشد.
اگر ایمپلنت یا لمینت داری، چطور میتوان رنگ دندان ها را یکدست کرد؟
چند راهکار وجود دارد:
🔹 ۱. انجام بلیچینگ قبل از ساخت روکش یا لمینت
ایدهآل ترین راه؛ اول بلیچینگ، بعد هماهنگ سازی.
🔹 ۲. تعویض روکش ایمپلنت یا لمینت بعد از بلیچینگ
وقتی ناهماهنگی رنگ زیاد باشد.
🔹 ۳. پولیش حرفه ای روی لمینت ها
برای لمینت های کامپوزیتی بسیار مؤثر است.
🔹 ۴. استفاده از کامپوزیت اصلاحی برای هماهنگ سازی جزئی
برای مواقعی که اختلاف رنگ کم است.
هر یک از این راهکارها بسته به شرایط بیمار انتخاب میشود و تصمیم نهایی باید با دندانپزشک متخصص باشد.
چه افرادی با وجود ایمپلنت یا لمینت نباید بلیچینگ انجام دهند؟
افرادی با حساسیت شدید دندانی
افرادی که تحلیل لثه شدید دارند
بیماران دارای آسیب مینای دندان
کسانی که بیش از ۶ سطح دندان جلویی آنها لمینت یا روکش شده
افرادی که خشکی دهان یا مشکلات دهان و لثه درمان نشده دارند
در این موارد سفید کردن باید با احتیاط بیشتری انجام شود.
بلیچینگ خانگی برای افرادی که ایمپلنت یا لمینت دارند؛ بله یا خیر؟
بلیچینگ خانگی با ژل و تری های سفارشی، برای کسانی که ایمپلنت یا لمینت دارند قابل انجام است، اما:
ژل ها روی ایمپلنت یا لمینت اثر ندارند
باید با احتیاط استفاده شوند تا لثه آسیب نبیند
احتمال ناهماهنگ شدن رنگ وجود دارد
به طور کلی، انجام بلیچینگ در کلینیک برای این افراد ایمن تر و حرفه ای تر است.
مراقبت ها و نکات بعد از بلیچینگ برای افراد دارای ایمپلنت یا لمینت
۲۴ ساعت اول از مواد رنگ زا (چای، قهوه، رب، سس تیره) پرهیز کنید.
از نی برای نوشیدنی های رنگی استفاده کنید.
مسواک مخصوص دندان های حساس استفاده کنید.
اگر لمینت دارید، برای جلوگیری از لکه شدن کامپوزیت ها، پولیش دوره ای انجام دهید.
اگر ایمپلنت دارید، از نخ دندان و دهان شویه مخصوص استفاده کنید تا لثه اطراف سالم بماند.
دکتر مریم افضلی با سال ها تجربه در حوزه درمان های زیبایی، ترمیمی و طراحی لبخند، یکی از پزشکان معتبر و شناخته شده در این زمینه است.
ایشان با بهره گیری از تکنیک های روز دنیا و تجهیزات پیشرفته، درمان هایی دقیق، اصولی و ماندگار ارائه میدهند.
دکتر افضلی با رویکردی علمی و شخصی سازی شده، برای هر بیمار طرح درمان اختصاصی و مطابق با نیازهای فردی طراحی میکند.
هدف ایشان خلق لبخندی طبیعی، سالم و هماهنگ است که اعتمادبه نفس و کیفیت زندگی بیمار را به شکل چشمگیری بهبود میبخشد.
سوالات متداول
۱. آیا بلیچینگ روی ایمپلنت و لمینت باعث آسیب به آنها میشود؟
خیر، مواد سفیدکننده هیچ آسیبی به روکش، ایمپلنت یا لمینت نمیزنند.
۲. اگر دندان هایم سفید شود ولی لمینت یا روکش تغییری نکند، چه کنم؟
بسته به اختلاف رنگ، دندانپزشک یا پولیش پیشنهاد میدهد یا تعویض روکش/لمینت.
۳. آیا می توانم فقط دندان های طبیعی را سفید کنم؟
بله، اما باید مراقب باشید هماهنگی رنگ حفظ شود.
۴. چه مدت بعد از ایمپلنت میتوان بلیچینگ انجام داد؟
بعد از کامل شدن ترمیم بافتها و نصب روکش نهایی؛ معمولاً ۳ تا ۶ ماه بعد.
۵. لمینت های کامپوزیتی با بلیچینگ سفید میشوند؟
خیر، فقط با پولیش یا تعویض روشن تر میشوند.





